We have tried our best to give real meaning to the uniformity of information on cheap dental treatments in India under the wide acronym dental tourism under the spectrum of Medical Tourism. The reason India is a favorable cheap dental holiday destination is because of vast dental talent in India, an area in which it is at par with those in USA, UK and Europe. India has some of the best dental clinics/hospitals and tooth treatment centers in the world with the best facilities.

Contact Now

Address

201,Radhaswami pavan Complex,2nd floor, Nr. Mahendra shah hospital, Opp. N.S. Patel Arts College , Bhalej Road, Anand, Gujarat.

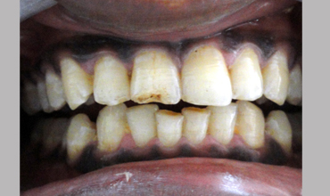
Ellis Class

ELLIS CLASS- I FRACTURE WITH COMPOSITE BUILD UP